肘关节受伤或手术后,如果出现持续的肿痛和越来越僵硬的情况,要警惕一种被称为 “骨化性肌炎” 的并发症。简单来说,它就像关节周围“长出了多余的骨头”,这些异常骨组织会成为关节活动的“路障”,严重限制肘部功能。

一 什么是骨化性肌炎
这是一种 “过度修复” 反应,最常见于严重的肘关节骨折、脱位或手术后。如果康复期间过早、过度地进行暴力牵拉或按摩,会大大增加其发生风险。其发展分为三个阶段:
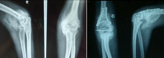
1. 早期(伤后几周):关节红、肿、热、痛加剧,活动度下降,X光常无异常。
2. 成熟期(数月到一年):疼痛减轻,僵硬突出,X光可见钙化影逐渐形成清晰骨块。
3. 稳定期(一年后):骨块成熟定型,关节活动度永久性部分丧失。
二 热疗的影响:严禁在急性期使用
热疗(如蜡疗、红外线、热敷)在不同阶段的作用截然相反,错误使用可能加重病情。
❌ 急性炎症期(绝对禁止热疗)
· 热刺激会扩张血管,加重炎症和出血,为异位骨化提供更多“原料”,可能显著促进骨块形成。
· 此时应首选冰敷,配合抗炎药物,严禁任何形式的热疗、深部按摩或暴力活动。
⚠️ 慢性稳定期(谨慎使用,需专业评估)
· 待异位骨完全成熟(经X光或CT确认),热疗可作为辅助手段,帮助放松软组织、改善关节僵硬。
· 必须在医生指导下进行,确保无急性炎症迹象。
一句话总结:
急性期,热刺激是“火上浇油”;稳定期,可作“润滑剂”,但必须专业评估后再使用。
三 预防是关键:系统化策略降低风险
预防骨化性肌炎是肘关节康复的重中之重,需贯穿从受伤到恢复的全过程,遵循 “RICE-PAM”原则:
✅ 急性期/术后早期(伤后1-2周)
1. 冰敷:每次15–20分钟,每日多次,减轻肿胀与炎症。
2. 加压与抬高:使用弹力绷带,保持患肢高于心脏。
3. 药物预防:
· 非甾体抗炎药(如吲哚美辛)是核心,既镇痛又抑制异位骨化。
· 高危患者可能需结合 低剂量放疗(术后24小时内)。
✅ 康复锻炼期:平衡的艺术
· 坚持“无痛范围”活动:禁止暴力掰扯,避免引起新的损伤。
· 分期进行:
· 早期(1–4周):主动活动手指、手腕,轻微肘部屈伸。
· 中期(4–12周):辅助下轻柔被动活动,可配合CPM机(参数需保守)。
· 后期(3个月后):加强活动度与力量训练,仍避免暴力抗阻。
✅ 识别高危因素
· 高风险人群:开放性骨折、骨折脱位、合并颅脑损伤、有异位骨化病史者。
· 加强监测:定期复查X光(伤后1、3、6个月),早期发现云絮状阴影。
❌ 绝对避免的“雷区”
· 急性期热疗、深部粗暴按摩。
· 盲目相信“痛才有效”,让他人强行掰肘。
· 忽视疼痛信号,过早进行高强度训练。
四 治疗原则:时机决定方案
· 保守治疗:骨块成熟前(约1年),以消炎、镇痛、维持无痛活动为主。
· 手术治疗:仅用于骨块完全成熟且严重影响功能时。术后需立即联合药物或放疗预防复发,并积极康复。
五 给患者的核心建议
1. 警惕异常信号:重伤后如僵硬、疼痛加剧,及时就医。
2. 康复如“文火慢炖”:绝对避免暴力活动,遵循“无痛原则”。
3. 耐心配合:理解“等待骨块成熟”的必要性,与医生、治疗师紧密沟通。
4. 预防优于治疗:系统预防是保住关节功能的根基。
牢记口诀:
抗炎是基础,无痛是红线,科学锻炼是关键。
通过科学的预防与分期管理,可以显著降低骨化性肌炎的风险,为肘关节功能恢复奠定坚实基础。如有疑虑,务必咨询骨科或康复科专业医生,切勿自行处理。
供稿:康复医学科张科
制作:张文华
初审初校:武俊英
复审复校:温晓丽
终审终校:程红
发布:董希秀