吃饭,本是最平常不过的小事,可对于有些人来说,每一口吞咽都格外艰难,甚至连喝水都觉得费力,久而久之,吃不下饭,体重直线下降,生活质量和身体健康大打折扣。近日,山西医科大学第一医院胃肠外科通过“精准诊断+微创手术”,帮助一位饱受吞咽困难折磨的患者成功摆脱病痛,快速恢复正常饮食,并顺利康复出院。
该患者遭受吞咽困难两月有余,刚开始只是吃干硬食物时觉得下咽不畅,慢慢发展到连流食、半流食都难以顺利咽下,总感觉食物堵在胸口,上不去也下不来。因为无法正常进食,患者短短两个月时间体重下降了10公斤,整个人精神萎靡、浑身乏力,日常活动都受到影响,家人焦急万分,急忙带他来到山医大一院胃肠外科就诊。
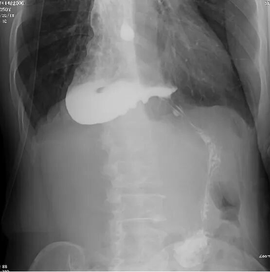
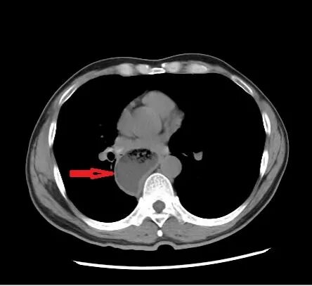
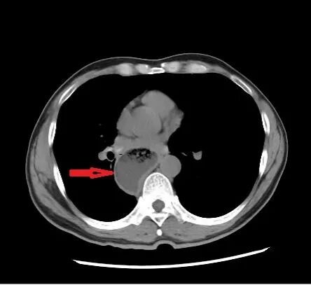
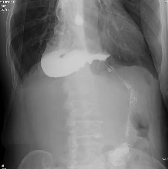
患者收治入院后,医生先后为其完成胃镜、上消化道造影、腹部CT等专科检查。胃镜检查提示,食管下端呈典型“鸟嘴样”改变,胃镜通过困难,食管上段明显扩张;上消化道造影提示,食管下端狭窄呈鸟嘴状,食管整体扩张、蠕动减弱,钡剂通过贲门受阻;腹部CT提示,食管扩张明显,管腔内可见积液积气。


结合症状与影像学检查,患者最终被诊断为贲门失弛缓。针对患者的病情,胃肠外科诊疗团队迅速开展病例讨论,全面评估患者身体状况,制定了个体化微创治疗方案——腹腔镜下贲门肌切开+Dor胃底折叠术,并完善了术前各项准备工作。
手术由科室经验丰富的医师团队主刀,全程采用腹腔镜微创方式,仅在患者腹部做四个微小切口,通过腔镜器械精准操作,术中发现患者合并食管裂孔疝,于是同期完成食管裂孔疝修补,修复薄弱的膈肌裂孔,避免疝体再次突出,手术过程顺利,术中出血少,创伤小,完美实现了一次手术解决贲门失弛缓+食管裂孔疝两大问题,避免患者二次手术的痛苦。
术后第二天,患者就能下床正常活动,并且可以顺畅进食温凉流食,吞咽困难的症状明显得到缓解。术后第四天,患者饮食、精神状态基本恢复正常,顺利出院。微创手术的优势在该患者的术后恢复中体现得淋漓尽致,他术后生命体征平稳,疼痛轻微,恢复速度远超预期。
科普时间
近年来,食管胃结合部良性疾病的发病率逐年上升,越来越受到临床和公众的重视,这类疾病主要包括贲门失弛缓、胃食管反流病、食管裂孔疝等,看似是“小毛病”,却严重影响生活质量,拖延不治还会引发营养不良、食管炎症、食管扩张等并发症。
什么是贲门失弛缓?
贲门失弛缓是一种罕见的原发性食管动力障碍性疾病,核心病因是食管下端贲门部位的肌肉长期处于痉挛紧张状态,无法正常松弛,导致食物无法顺利进入胃内,堵在食管里,进而引发吞咽困难、胸骨后疼痛、烧心反酸、食物反流、体重下降等一系列症状,长期患病还会导致食管扩张、扭曲,甚至增加食管病变的风险。
手术是关键解决方案
贲门失弛缓确诊后,手术治疗是首选且有效的方式,能够从根源上解决贲门痉挛狭窄的问题。
腹腔镜微创术式:松解贲门+防反流,一举两得
很多患者担心,贲门肌肉切开后,贲门变松了,会不会出现严重的胃食管反流?其实,目前临床主流的微创术式已经解决了这个问题。
腹腔镜下贲门肌切开联合胃底折叠术,一方面精准切开痉挛的贲门肌,彻底松解狭窄通道,让食物顺利下咽,另一方面通过胃底折叠术,在贲门切开处形成“保护屏障”,限制贲门过度松弛,有效阻挡胃内食物、胃酸反流至食管,避免术后烧心、反酸等并发症。
尤其对于合并食管裂孔疝的患者,无需分次手术,可同期完成疝修补+贲门肌切开+胃底折叠,一次性解决所有问题,创伤小、恢复快、疗效确切。

健康提醒 如果长期出现吞咽困难、反酸烧心、胸骨后疼痛、不明原因体重下降等症状,千万别当成“消化不良”硬扛,也不要盲目自行吃药,一定要及时到胃肠外科就诊,完善相关检查明确诊断,尽早接受规范治疗,摆脱病痛困扰,重拾健康饮食生活。
山医大一院胃肠外科长期专注于各类胃肠、食管胃结合部疾病的微创诊疗,拥有成熟的微创技术团队和丰富的临床经验,针对贲门失弛缓、胃食管反流病、食管裂孔疝、胃肠肿瘤等疾病,开展各类腹腔镜微创手术,以微小创伤、快速恢复、优质疗效,为广大患者的消化道健康保驾护航。
供稿:胃肠外科 马小乐
制作:张文华
初审初校:贾凯
复审复校:温晓丽
终审终校:杨丽红
发布:董希秀